4. Células de animales y células de vegetales
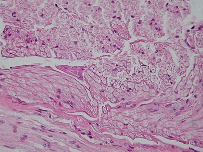
Fíjate en estas dos imágenes. Aunque las dos corresponden a células eucariotas —una es un tejido animal, la otra es del tejido de un vegetal—. ¿Encuentras algunas diferencias entre ellas?
|
| Imagen 34. Autor: Reytan. Licencia Creative Commons |
|
| Imagen 35. Autor: Fabelfroh. Licencia Creative Commons |
Estás en lo cierto, estos tejidos son bastante diferentes. El de arriba se corresponde con un tejido animal, el de abajo con uno vegetal. Por lo general, las células vegetales son de mayor tamaño que las animales, y se encuentran envueltas por una gruesa pared celular que les da esta característica forma poligonal.
Mira este vídeo, te va a servir para que comiences a apreciar las diferencias entre células animales y vegetales que desarrollaremos en los siguientes apartados.
Vamos a comenzar analizando lo que presentan en común:
- Las dos tienen un alto grado de organización, con numerosas estructuras internas delimitadas por membranas.
- Presentan membrana plasmática, que regula los intercambios entre la célula y el exterior.
- Tienen membrana nuclear con poros, que establece una barrera entre el material genético y el citoplasma, y tienen también retículo endoplasmático, aparato de Golgi y ribosomas.
- Presentan mitocondrias que extraen energía de la materia orgánica.
|
| Imagen 36. Autor: Desconocido. Licencia Creative Commons |
También podemos encontrar en los dos tipos de células, aunque cambien un poco de una a otras:
-
Lisosomas, que intervienen en la digestión intracelular de sustancias y peroxisomas, que realizan la oxidación de sustratos.
- Material de reserva, en la célula animal son gránulos de glucógeno y en la vegetal de almidón.
- Las vacuolas, que son orgánulos para almacenar sustancias: éstas son pocas y pequeñas en células animales y grandes en células vegetales.
-
La posición
del núcleo, centrado en células animales y desplazado por las vacuolas en
células vegetales.
Esta tabla es importante, contiene las principales diferencias entre células animales y vegetales.
| Estructura | Célula animal |
Célula vegetal |
| Membrana de secreción |
No siempre |
Sí.
Es la pared celular de celulosa |
| Aparato de Golgi |
Grande |
Pequeño |
| Cloroplastos |
No |
Sí |
| Centriolos |
Sí | No |
|
| Imagen 37. Autor: Desconocido. Autorizado su uso educativo no comercial |
¿Podrías decir si son verdaderas o falsas estas afirmaciones?
Verdadero Falso
Verdadero Falso

